The impact menopause can have on women’s heart health
Dr. Koshy is a certified menopause specialist and cardiologist. She has a passion for women’s heart care. Recently she discusses […]
Dr. Koshy is a certified menopause specialist and cardiologist. She has a passion for women’s heart care. Recently she discusses […]
McLaren Health Care Establishes Statewide Heart & Vascular Institute, Appoints Chief Medical Director McLaren Health Care has launched the McLaren
Jelena Zahirovic-Arnautovic, D.O., F.A.C.C. is the Medical Director of the Women’s Heart program at Henry Ford Rochester is at the
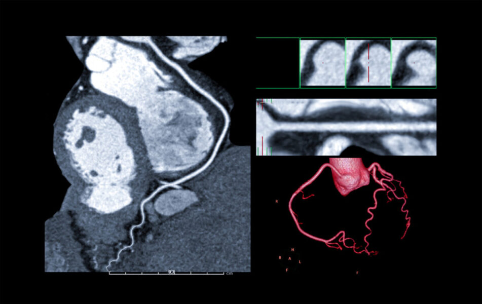
Beyond the Calcium Score: Why Cardiac CT is Now a First-Line Tool for the Modern Cardiologist Colleagues, For years, many
Celebrating Excellence in Emergency Care We are proud to recognize the incredible teamwork between our local Fire Departments, physicians, nurses,
Cerebrovascular Disease & Peripheral Artery Disease (PAD) – Trusted Vascular Care in Michigan Healthy blood flow is essential for your
Aortic Atherosclerosis – Michigan’s Silent Artery Threat Your aorta is your body’s largest blood vessel—carrying oxygen-rich blood from your heart
Coronary Artery Disease (CAD) If you live in Michigan and have been feeling unexplained chest discomfort, shortness of breath, or
Sudden Cardiac Arrest: What Every Heart Patient Needs to Know As cardiovascular consultants, we spend our days working to keep